Language
English
Japanese
Chinese(Simplified)
Chinese(Traditional)
창원점 치료 케이스
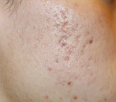
2024.02.11 촬영
2024.04.19 촬영
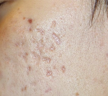
2025.03.06 촬영
2025.06.21 촬영
2025.02.27 촬영
2025.06.07 촬영
2023-12-17 촬영
2024-12-16 촬영
2025-05-13 촬영
2025-07-24 촬영
2025-02-25 촬영
2025-05-17 촬영
안녕하세요! 후 한의원 창원점 고영미 원장입니다.
매사에 인연이란 것을 중요하게 생각했습니다.
저희 병원을 찾아주시고, 환자와 의사의 연을 맺는다는 것이 얼마나 감사하고 기쁜 일인지 모릅니다.
저는 제가 최고라고 얘기하지 않겠습니다. 다만 저를 찾아주시는 분들께 최선을 다해 반기고, 들어드리고,
고민을 나누어 해결하는데 조금이나마 도움을 드릴 수 있다면 그것이 바로 의사라는 업을 하면서 느낄 수 있는 보람이라고 생각됩니다.
항상 노력하고 겸손하여 발전하는 저희 병원이 되겠습니다.
몸은 마음의 거울입니다. 단순히 몸의 아픈 곳만을 치료하는 것이 아니라 환자분의 마음 속
이야기를 함께 나누고 보듬어 드릴 수 있는 진료를 하겠습니다.
고영미 원장
사상체질과 전문의
한의학 박사(사상체질과)
대전대학교 천안한방병원 일반 / 전문수련의 과정 수료
사상체질의학회 정회원
대한한의사전문의협회 정회원
前 소람한방병원 책임원장
前 이안한방병원 진료원장
前 대전대학교 천안한방병원 임상연구센터 연구한의사 - 비만, 피부, 체질 관련 연구 다수 참여 및 논문 작성
<참여연구>
체질분석툴(SCAT)로 진단된 태음인 중 대사증후군 위험인자를 가진 자의 과체중 및 비만에 대한 태음조위탕의 효과 : 단일군, 전후 비교 연구자 임상시험
레트로파지크림(Retropha-G Cream)의 아토피성 피부에 대한 보습효과 및 안전성 평가를 위한 무작위 배정, 이중맹검, 대조군 인체적용시험
제주용암해수와 미세기포수를 함유한 스킨토너, 미스트의 피부 보습효과 등 유효성 및 안전성 평가를 위한 무작위 배정, 이중맹검, 대조군 인체적용시험
(주) 샤로제 에이티알파 크림의 인체적용 시험에 관한 연구
<논문>
Anti-obesity effect of Yangkyuksanwhatang in high-fat diet-induced obese mice - [SCIE] BMC Complementary and Alternative Medicine
(2019) 19:246
02-543-9696
서울 강남구 도산대로 110 케이비엘 센터 지하1층
강남점 원장 : 홍진우
사업자등록번호 : 496-26-01423
후 한의원 Copyright (C) 2022 Hooclinic Network all rights reserved.
02-6959-2555
서울특별시 노원구 상계로 55, 6층 (상계동)
노원점 원장 : 하지훈
사업자등록번호 : 340-98-01296
후 한의원 Copyright (C) 2022 Hooclinic Network all rights reserved.
02-884-2020
서울특별시 관악구 신림로 318, 6층 (서원동)
신림점 원장 : 임기섭
사업자등록번호 : 644-73-00497
후 한의원 Copyright (C) 2022 Hooclinic Network all rights reserved.
032-438-0073
경기도 부천시 원미구 상동로108 (상3동535번지) 다인타운빌딩 4층
부천점 원장 : 조혜경
사업자등록번호 : 416-59-00668
후 한의원 Copyright (C) 2022 Hooclinic Network all rights reserved.
031-244-5575
경기도 수원시 팔달구 매산로 11, 405호
수원점 원장 : 유지희
사업자등록번호 : 124-52-32428
후 한의원 Copyright (C) 2022 Hooclinic Network all rights reserved.
031-387-0056
경기도 안양시 동안구 시민대로 214 다운타운빌딩 6층
안양점 원장 : 심다혜
사업자등록번호 : 389-53-00501
후 한의원 Copyright (C) 2022 Hooclinic Network all rights reserved.
031-907-1075
경기도 고양시 일산서구 중앙로 1426, 2층 (주엽동)
안양점 원장 : 송영호
사업자등록번호 : 587-63-00031
후 한의원 Copyright (C) 2022 Hooclinic Network all rights reserved.
032-715-8073
인천광역시 남동구 구월동 인하로489번길 맨하탄빌딩 3층
인천점 원장 : 이소미
사업자등록번호 : 403-22-18701
후 한의원 Copyright (C) 2022 Hooclinic Network all rights reserved.
033-766-5075
강원도 원주시 능라동길 31 2층, 3층
원주점 원장 : 박동준
사업자등록번호 : 224-91-15000
경희 후 한의원 Copyright (C) 2022 Hooclinic Network all rights reserved.
033-242-7510
강원도 춘천시 금강로 68-2, 5층 (조양동)
춘천점 원장 : 김지유
사업자등록번호 : 275-04-02804
후 한의원 Copyright (C) 2022 Hooclinic Network all rights reserved.
054-474-1075
경북 구미시 인동 가산로 9-3 노블레스타워 4층
구미점 원장 : 이언호
사업자등록번호 : 328-29-00914
후 한의원 Copyright (C) 2022 Hooclinic Network all rights reserved.
053-252-0255
대구광역시 중구 동성로2길 95 BL타워 3층
대구점 원장 : 정선아
사업자등록번호 : 866-63-00031
후 한의원 Copyright (C) 2022 Hooclinic Network all rights reserved.
051-803-2075
부산광역시 부산진구 서면로 59 삼정노블빌딩 11, 12층(T world, 블루샥 건물 12층)
부산점 원장 : 이현미
사업자등록번호 : 104-35-50691
후 한의원 Copyright (C) 2022 Hooclinic Network all rights reserved.
055-286-9900
경상남도 창원시 의창구 원이대로 591 10층
창원점 원장 : 고영미
사업자등록번호 : 149-26-01551
후 한의원 Copyright (C) 2022 Hooclinic Network all rights reserved.
054-255-7500
경상북도 포항시 북구 죽도로 25 2층
포항점 원장 : 오동건
사업자등록번호 : 506-20-87920
후 한의원 Copyright (C) 2022 Hooclinic Network all rights reserved.
062-366-1079
광주 서구 죽봉대로 66 엘지생활건강 빌딩 4층
광주점 원장 : 서동철
사업자등록번호 : 410-31-40329
후 한의원 Copyright (C) 2022 Hooclinic Network all rights reserved.
063-251-1050
전라북도 전주시 완산구 온고을로 20 더즌빌딩 2층
전주점 원장 : 허정위
사업자등록번호 : 402-23-88249
후 한의원 Copyright (C) 2022 Hooclinic Network all rights reserved.
041-622-7073
충남 천안시 동남구 만남로 52, 문타워 3층
천안점 원장 : 구소라
사업자등록번호 : 199-12-03066
후 한의원 Copyright (C) 2022 Hooclinic Network all rights reserved.
043-235-7557
충청북도 청주시 흥덕구 가경로 9-22, 3층 303호 (가경동)
청주점 원장 : 이예지
사업자등록번호 : 431-20-01818
후 한의원 Copyright (C) 2022 Hooclinic Network all rights reserved.
064-725-7510
제주특별자치도 제주시 노형로 407 노형타워 4층
제주점 원장 : 이경원
사업자등록번호 : 616-30-32323
후 한의원 Copyright (C) 2022 Hooclinic Network all rights reserved.
052-268-9975
울산 남구 삼산중로 71 4층
울산점 원장 : 정석환
사업자등록번호 : 610-27-54899
후 한의원 Copyright (C) 2022 Hooclinic Network all rights reserved.
042-389-7575
대전 서구 둔산중로 38 (메트로존빌딩) 802호
대전점 원장 : 문의경
후 한의원 Copyright (C) 2022 Hooclinic Network all rights reserved.
hoo KakaoTalk
상담을 원하는 지점을 클릭해 주세요