후 한의원 소개
전하고 싶은 진심
치료에 담다
후 청정 한약재
후 소식
여드름
여드름 · 모낭염
여드름자국
여드름흉터
바디케어
바디(등/가슴)여드름
바디(팔/다리)모공각화증
다이어트
프리미엄 미감탕
비움탕
다요스틱
다요정
미감에스
피부질환
지루성 피부염
주사피부염.홍조
한포진
건선
아토피
지루성 두피염
탈모
잡티제거
편평·심상성 사마귀
일반점·돌출큰점
비립종
한관종
피지선 증식증
쥐젖
검버섯·지루각화증
안티에이징
리프팅
모공축소
성형 후 부종
생활건강진료
보약
교통사고
생리통
산후조리
웨딩패키지
지점안내
강남점
노원점
신림점
부천점
수원점
안양점
일산점
인천점
원주점
춘천점
구미점
대구점
부산점
창원점
광주점
전주점
천안점
청주점
제주점
대전점
상담/예약
온라인 상담
온라인 예약
이벤트 바로가기
치료 전후
후 의료진 치료 칼럼
후 치료 케이스
커뮤니티
후 유튜브
후 공식인스타그램
치료후기
비급여 안내
로그인
|
회원가입
후 한의원 소개
전하고 싶은 진심
치료에 담다
후 청정 한약재
후 소식
커뮤니티
후 유튜브
후 공식인스타그램
치료후기
비급여 안내
여드름
+
바디케어
+
다이어트
+
피부질환
+
잡티제거
+
안티에이징
+
생활건강진료
+
지점안내
+
상담/예약
+
치료 전후
+
여드름 · 모낭염
여드름자국
여드름흉터
바디(등/가슴)여드름
바디(팔/다리)모공각화증
프리미엄 미감탕
비움탕
다요스틱
다요정
미감에스
지루성 피부염
주사피부염.홍조
한포진
건선
아토피
지루성 두피염
탈모
편평·심상성 사마귀
일반점·돌출큰점
비립종
한관종
피지선 증식증
쥐젖
검버섯·지루각화증
리프팅
모공축소
성형 후 부종
보약
교통사고
생리통
산후조리
웨딩패키지
강남점
노원점
신림점
부천점
수원점
안양점
일산점
인천점
원주점
춘천점
구미점
대구점
부산점
창원점
광주점
전주점
천안점
청주점
제주점
대전점
온라인 상담
온라인 예약
이벤트 바로가기
후 의료진 치료 칼럼
후 치료 케이스
후한의원
예약
이달의 혜택
Language
English
Japanese
Chinese(Simplified)
Chinese(Traditional)
후 치료 케이스
전하고 싶은 진심을 치료에 담는다 ;후
23년 동안 한길을 걸어온 우리들만의 이야기, 그 이야기에 끝에는 당신이 있습니다
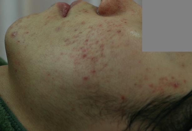
여드름치료 전후사진
2011-09-30
hit.186
치료전
치료후
지점
인천점
질환
상세질환
인천점 여드름치료 전후사진입니다. (3개월진행중)
한약과 여드름치료(ams포함), 홈케어를 진행하고 계십니다.
(ams진행 중이라서 얼굴에 붉은기가 조금 남아있습니다.)
목록
QUICK
hoo KakaoTalk
상담을 원하는 지점을 클릭해 주세요
강남점
+
노원점
+
신림점
+
부천점
+
수원점
+
안양점
+
일산점
+
인천점
+
원주점
+
춘천점
+
구미점
+
대구점
+
부산점
+
창원점
+
광주점
+
전주점
+
천안점
+
청주점
+
제주점
+
대전점
+
후한의원 통합상담
+
상담신청
상담을 원하시는 경우 신청해주세요
이름
연락처
지점
지점선택
강남점
노원점
신림점
부천점
수원점
안양점
일산점
인천점
원주점
춘천점
구미점
대구점
부산점
창원점
광주점
전주점
천안점
청주점
제주점
대전점
상담방법
전화
카톡
개인정보수집동의